
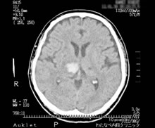
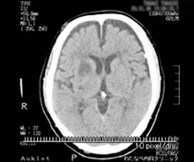
脳出血や脳梗塞は、ある日ある時突然に、脳の血管が切れて出血したり、詰まってしまう(梗塞)ことで、色々な障害が生じます。障害された場所により症状が異なります。同じ側の手足がマヒしたり、感覚障害(シビレや痛み)がみられたりします。また、呂律が回らなくなったり(構音障害)、言葉が理解できるのに話せなくなる(失語症)ことや、ものが二重に見えるなどの様々な症状を呈します。診断は急激な発症かどうかということを考慮し、神経学的診察所見および頭部CTなどの画像診断から判断します。


嘔吐や意識消失を伴うこともあり、手足の麻痺は通常は伴いません。
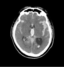
突然、頭を抱えて頭痛を訴えた後で倒れてしまった人を目の前にしたら、くも膜下出血と決めて救急車を呼ぶべきであるぐらい、特徴的な症状と言えます。くも膜下出血では、脳表面のクモ膜下腔に出血がみられ特徴的なCT所見を呈します。出血が軽度でCT上、特徴的な所見が見つからない場合、腰に長い注射針を穿刺し、脳脊髄液に血液の混入があるかどうかを確かめる必要があります。経験のない突然の強い頭痛が見られた場合には、念のため医療機関の受診をお勧めします。

これらがこの病気の代表的な特徴です。パーキンソン病は脳内のドーパミンという物質が不足するため、治療薬としてドーパミンの前駆物質であるL-dopaを投与します。パーキンソン病は難病に指定されていますが、使用できる治療薬が多く症状改善が期待できます。パーキンソン病に似た症状を呈する疾患群をパーキンソン症候群と呼び、変性疾患(進行性核上麻痺・多系統萎縮症・レビー小体型認知症など)、脳梗塞・脳炎の後遺症、水頭症、薬剤の副作用(向精神薬・抗うつ薬・降圧剤・制吐剤など)、一酸化炭素・マンガン中毒などの様々な原因があることが知られています。パーキンソン病は病歴と臨床症状もとに診断していきますが、パーキンソン症候群と鑑別するために、CT検査などの画像診断が行われます。パーキンソン病では治療薬をきちんと服用することが大事です。急な中断や、自己判断での増量は危険ですので行わないでください。散歩や運動などのリハビリはとてもとても大切です。足腰を鍛えることを心掛けて治療を続けましょう。

休診日や時間外でも初診受付ができます。
